
【大人の矯正】費用全見せ&想定外の事とは⁈
みなさん、こんにちは。
サンキュ!STYLEライターのこじまはるなです。
つい先日、2年半かかったワイヤーでの歯列矯正が終わりました!
Instagramでも反響が大きかったので、「大人の矯正」に意外とみなさん興味があるかと思い、今回記事にさせていただきました。
矯正に興味がない方も、新しい発見があるかもしれませんので、お時間ありましたらぜひどうぞ。
矯正のきっかけ

元々歯並びが悪く歯列矯正に興味がありましたが、中々きっかけがなく…
夫が転勤となり、その後数年は転勤がない事と、出産を控えていたため産後は人と会う機会が減るかと思い、独身時代の貯金をつぎ込んで矯正することを決意しました!
矯正の内容

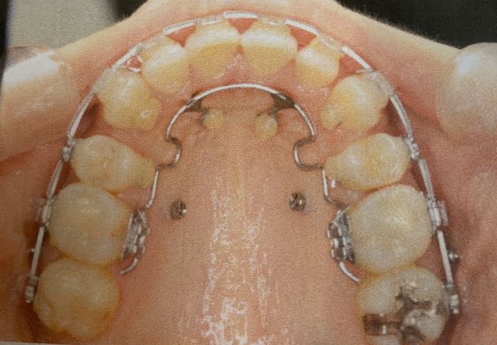
私は写真のようなワイヤー矯正を2年半行いました。
他にもマウスピースだけで行う矯正や、オールセラミックなど種類があり、それぞれ値段や必要な期間が異なりますので、気になる方は一度調べてみてください。
上の歯の歯並びが悪く、八重歯の横の歯を左右1本ずつ抜いてのスタート。
抜歯は全然痛くなかったです。
矯正器具の締め付け感はありましたが、「歯が痛くて食べられない」なんて事にはなりませんでした。食欲の勝ち。
ただ、後ほど詳しく書きますが、器具に詰まるので食べにくいものはたくさんありました!
その後、スクリュー(ねじ)を歯茎に埋め、そこと矯正器具をゴムでつなぐという処置も行いました。
かかった費用(概算)
いわゆる「矯正」と言われて思い浮かぶ、歯の表にワイヤー器具がついた矯正です。
歯並びが悪すぎてマウスピースの選択肢はなし、将来の事を考えてオールセラミックも辞めて自分の歯を残す選択をしました。おそらく、一番費用がかかる矯正手段です。
初期費用 990,000円
通院ごとに 6,000円 およそ月1回のため、2年半で180,000
スクリュー(ねじ) 11,000円×5本 55,000円
抜歯 5,000円
ソフトリテーナー 22,000円
計 1,252,000円
私が通っている歯医者さんは、手術や薬代は通院費に含まれるシステムでした。
医療費控除で何割か還付されています。そして、これからもリテーナー(マウスピース)の具合を見るために、月1回の通院(1回6,000円)、リテーナー作り直しの場合は22,000円がかかってくるので、まだまだ出費は続きます…
ただ、お金がかかることは想定内。それだけの価値があると思って決断したので後悔はありません。
こんなはずじゃなかった…事

・食べ物
食にくくなるものがあるなんて、思ってもいませんでした。
矯正中は禁止されるガムやキャラメルはもともと好きではないので食べませんが、繊維がある野菜やお肉を食べた後は歯磨きが大変!
大好きだったナッツも矯正器具に挟まるし、サンドイッチやハンバーガーをかじると、前歯に挟まるのが気になり笑えませんでした。
・口内炎
口の中に異物が入るので当たり前ですが、矯正前は考えてもいませんでした。装置が変わると違う場所が炎症を起こし、矯正中を通して口の中が穏やかな時期はあまりありませんでした。
・他の歯への影響
おそらく矯正器具の負荷によって、昔治療した歯の根元が膿みました。
矯正しなくても、何かのタイミングで同じ事にはなっていたかと思いますが。
こちらも歯茎の外科手術を受けて、現在も治療中。インプラントになる可能性も秘めています。。。
(ま…またお金が…)
・口角炎
口があまり大きくなく、大きく開けるのも苦手な私。
容赦なくひっぱられるので、通院のたびに口角が裂けて荒れました。
ワセリン持参していましたが、あまり効果なかったです。
・鼻の下へのスクリュー
既に4本のスクリューを入れていたので、「余裕!」かと思っていましたが、前回までのちょっと歯茎に入れる程度のものとは全く別物!
外科手術となり、術後は患部が重苦しい感じで辛く、家事放棄しました。。。
術後も、鼻の下が自由に動かなくなり、鼻がすすれなかったり、笑顔がぎこちなかったり。
通院のたびにひっぱられるのも痛くて苦痛でした。
再び外科手術で取り出すまで約1年、地味に辛かったです。
おわりに

想定外の事はあったものの、矯正をして良かったと思っています!
矯正中はあまり歯を見せたくなかったのですが、人前で自由に笑える事が本当に嬉しいです。
あまり賛成ではなかった夫や友人も、今では「綺麗な歯並びになったね」と言ってくれて大満足です!
歯医者さんによって様々な矯正プランや料金体系が用意されているため、じっくり比較検討する事が大切だと思いました。